
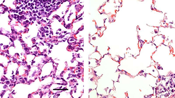
코로나19에 감염된 쥐의 폐. '코' 백신이 투여된 폐(右)와 투여되지 않은 폐(左)
미국 메디컬 익스프레스는 미국 워싱턴대 의대의 마이클 다이아몬드 분자 미생물학 교수 연구팀은 코를 통한 주입으로 면역반응을 유도할 수 있는 코로나19 백신을 개발해 쥐 실험에 성공했다고 보도했습니다.
이 백신은 독성을 제거한 감기 바이러스에 백신을 실어 콧속에 주입하는 것으로 단 한 번의 투여로 강력한 변역 반응을 유발할 수 있다고 연구팀은 밝혔습니다.
지금까지 개발된 코로나19 백신은 모두 팔이나 대퇴부 근육에 주사하는 방식입니다.
코로 주입하는 독감 백신의 경우 살아있는 독감 바이러스를 약화시킨 것으로 당뇨병이나 암 등으로 인해 면역력이 약화된 사람에게는 투여할 수 없지만, 코로나19 백신은 살아있는 백신을 사용하지 않아 안전하다고 연구팀은 설명했습니다.
이와 관련된 연구 결과는 과학전문지 셀 최신호에 발표됐습니다.
연구팀은 앞으로 영장류 실험을 거쳐 가능한 한 빨리 임상시험을 할 계획입니다.

당신의 의견을 남겨주세요