재생목록
-
오늘의 주요뉴스
어제 빈손으로 끝났던 남북 고위급 실무접촉이 북한의 제안으로 내일 다시 열립니다. 이산가족상봉과 한미 군사 훈련을 연계시키겠다던 북한의 태도변화가 있을지 주목됩니다. 존 케리 미국 국무부 장관이 아시아 중동지역 순방의 첫 일정으로 우리나라를 방...
전준홍 기자
-
남북 고위급 실무 접촉, 北 요구에 내일 재개
여러분, 안녕십니까? 어제 아무런 합의를 도출하지 못했던 남북 고위급 실무접촉이 북한의 제안으로 내일 다시 열립니다. 북한이 자꾸 만나자는 걸 보면 다급한 게 있는 모양인데 내일은 합의가 나올까요? 김세진 기자가 보도합니다. 남북...
김세진 기자
-
이산상봉 어떻게 되나?…북한 태도 어떤가가 관건
방금 보도에서도 언급됐습니다마는 북한이 이산가족 상봉문제를 한미 군사훈련과 계속 연계시키고 있습니다. 혹시나 상봉에 차질이 생기는 건 아닌지 걱정도 없지 않은데요. 공윤선 기자가 보도하겠습니다. 북한은 어제 고위급 접촉에서 한미군사훈련과 일정...
공윤선 기자
-
美 케리 장관 오늘 방한…"오바마 4월 방한 환영"
존 케리 미국 국무장관이 오늘 우리나라에 왔습니다. 오바마 대통령의 4월 한국 방문계획을 전달했고요. 북한문제 그리고 한일 관계를 집중 협의했습니다. 박충희 기자가 보도합니다. 10개월 만에 한국을 다시 찾은 존 케리 미국 국무장관은 박근혜 ...
박충희 기자
-
남녀 쇼트트랙 메달 사냥…박승희, 여자 500m 준결승 진출
올림픽 소식입니다. 소치 현지 연결해 보겠습니다. 박연경 앵커, 지금 우리나라 메달 효자종목 쇼트트랙 경기 지금 한창 진행되고 있죠? 우리 여자 쇼트트랙 대표팀이 조금 전 8강전을 마치고 곧 준결승전에 출격합니다. 취재기자 연결해서 자세한 소식...
정희석 기자
-
피겨여왕 소치 입성, 공항 북새통…"최고 모습 보일 것"
오늘 새벽 러시아 소치국제공항은 개항 이후 가장 떠들썩한 손님맞이가 있었는데요. 바로 김연아 선수가소치에 입성했습니다. 김연아 선수는 잠시 후 현지 적응훈련을 시작합니다. 정규묵 기자가 전해 드립니다. 한국을 떠난 지 17시간 만에 도착한 소...
정규묵 기자
-
관록의 피겨여왕 "판정·응원 텃세 실력으로 극복"
김연아 선수의 2연패 도전에는 러시아에 치우친 판정 그리고 일방적인 응원열기에 대한 우려가 있는데요. 하지만 김연아 선수는 모든 건 경기의 일부일 뿐이라면서 흔들림없는 모습을 보였습니다. 신지영 기자가 전해 드립니다. 4년 만에 다시 돌아온 ...
신지영 기자
-
김연아 VS 아사다 마오 VS 리프니츠카야…흥미진진 피겨 삼국지
피겨 여자싱글은 김연아와 아사다 마오 그리고 리프니츠카야 이렇게 3명의 대결로 압축되는데요. 피겨여왕의 경쟁자들은 어떻게 결전을 준비하고 있을까요. 서혜연 기자가 전해 드립니다. 단체전을 마친 아사다 마오는 아르메니아의 전용 링크에서 개인전을...
서혜연 기자
-
여왕과 샛별의 대결…티켓 한 장에 133만 원
피겨여왕 김연아와 러시아 신예 리프니츠카야의 맞대결을 보려는 티켓 구하기 전쟁이 벌어지고 있는데요. 인터넷에서는 부르는 게 값입니다. 임현주 기자가 취재했습니다. 김연아와 리프니츠카야의 첫 맞대결을 관람하기 위해 표를 사러 온 사람들은 빈손으...
임현주 기자
-
이상화, 시상식 내내 뜨거운 눈물…잠시 뒤 1000m 출전
다시 서울입니다. 이상화 선수가 금메달 시상식에서 뜨거운 눈물을 흘렸습니다. 잠시 뒤에는 1000m에 출전하는데요. 그 뭉클한 장면 다시 보시죠. 박주린 기자입니다. 자신의 이름이 호명되자 이상화는 두 손을 번쩍 들어 올렸습니다. 4년 전에 ...
박주린 기자
-
모태범, 아쉬운 메달 획득 실패…이규혁 '마지막 역주'
어제 스피드스케이팅 남자 1000m 경기, 아쉬우셨죠? 그래도 모태범 선수 그리고 최선을 다해 마지막 레이스를 펼친 이규혁 선수. 참 감동적이었습니다. 서유정 기자입니다. 모태범의 출발은 좋았습니다. 초반 200미터까지 쭉쭉 치고 나갔습니다....
서유정 기자
-
야자수 자라는 더운 소치…이변과 사고 속출
그런데 경기가 열리고 있는 소치, 날씨가 문제가 되고 있습니다. 야자수가 자랄 정도로 따뜻한 날씨에 눈이 녹으면서 각종 이변과 사고가 속출하고 있습니다. 김경호 기자입니다. 슬로프를 박차고 높이 치솟았지만 그만 미끄러져 넘어집니다. 새처럼 하...
김경호 기자
-
금메달 사연도 가지가지…미국도 '소 팔아 뒷바라지'
올림픽 금메달의 사연도 가지가지입니다. 스노보드 경기에서 우승한 한 미국 선수는 부모님이 소를 팔아 뒷바라지를 했다고 해서 화제가 되고 있습니다. 김나라 기자입니다. 화려한 묘기와 영광의 금메달 뒤에는 부모님의 헌신적인 지원이 있었습니다. 올...
김나라 기자
-
박대통령 "안현수 귀화, 왜?"…부조리 근절 지시
쇼트트랙 안현수 선수의 러시아 귀화 과정에 대해 박 대통령이 체육계의 관행적인 부조리 탓은 아닌지 되돌아보고 대책을 마련하라고 지시했습니다. 윤지윤 기자입니다. 소치 올림픽 쇼트트랙에서 우리 선수를 제치고 러시아에 첫 메달을 안긴 빅토르 안,...
윤지윤 기자
-
아이스크림 공장 폭발, 암모니아 가스 누출…4명 사상
주택가 인근 아이스크림 공장의 암모니아 탱크배관이 폭발해 대량의 암모니아 가스가 유출됐습니다. 3명이 다치고 1명이 실종됐는데요. 현장 연결해 자세히 알아보겠습니다. 전기영 기자, 전해 주시죠. ◀ 기 자 ▶ 예, 사고가 난지 7시간이 지났지만 이곳은 아직...
전기영 기자
-
부근 주택가 주민 '악취 피해'…암모니아 인체 영향은?
폭발 사고가 난 공장은 아파트와 학교 등이 밀집해 있는 주택가였습니다. 암모니아가 유출되면서 진동하는 악취로 인근 주민들이 큰 불편을 겪었습니다. 이준범 기자입니다. 폭발 사고가 난 공장에서 암모니아 가스가 퍼지고, 직원이 황급히 빠져나옵니다...
이준범 기자
-
강원 영동 지방 8일째 눈…자정 넘기면 역대 최장 기록
강원 영동 지방엔 여드레째 정말 길게도 폭설이 이어지고 있습니다. 강릉에선 어젯밤부터 내린 눈만 벌써 30센티미터가 넘게 내렸습니다. 현장 취재기자 연결합니다. 배연환 기자. 지금도 눈이 내리고 있나요? ◀ 기 자 ▶ 네 벌써 여드레째, 눈이 마치 장마처럼...
배연환 기자
-
[현장M출동] 콘크리트 틈새 '도심 흉기' 고드름 조심
눈이 녹아서 처마 끝에 주렁주렁 매달린 흔히 보는데요. 그런데 눈이 오지 않아도 건물 외곽 배관에 물이 새거나 또 주택가 보일러에 눈이 얼어도 김이 얼어붙어도 커다란 고드름이 생깁니다. 자칫 떨어졌다가는 인명피해가 우려되는 상황인데 콘크리트 틈새에서 자라는...
정진욱 기자
-
폭설 美 동부 '낙빙 비상'…폭설로 2차 피해까지
앞서 보신 대로 초고층 건물 꼭대기에서 눈이나 얼음이 떨어진다, 위험천만한 일이죠. 올겨울 전례없이 많은 눈이 내린 미국 도심에서 아슬아슬한 상황을 겪고 있습니다. 뉴욕에서 이언주 특파원입니다. 지붕에 쌓여있다 얼음으로 변한 눈이 폭포처럼 쏟...
이언주 특파원
-
[집중취재] '풍년의 역설'…채소 대풍년, 농가는 흉년
올해 대파, 배추는 37년 만에 풍년이라고 할 정도로 농사가 잘됐다고 합니다. 하지만 농민들은 깊은 한숨에 심지어는 밭을 갈아엎기까지 하고 있는데요. 김진희 기자가 농민들을 직접 만나고 왔습니다. 국내 최대 대파 산지인 전남 진도...
김진희 기자
-
밸런타인데이, 수입 초콜릿도 한국 소비자가 '봉'?
내일은 우리나라 사람들이 초콜릿 가장 많이 사는 날일 겁니다. 밸런타인데이죠. 그런데 초콜릿 가격 알아보니까 수입초콜릿이 다른 나라에 비해 유독 우리나라에서 비쌌습니다. 남상호 기자입니다. 연인과 포옹을 해서 심박수가 올라가면 초...
남상호 기자
-
[뉴스플러스] 일상을 구매하는 곳, 편의점 24시…우리의 얼굴
국내 첫 편의점은 1989년 서울 올림픽 선수촌 아파트 단지에 문을 열었는데요, 이제 편의점은 대로변은 물론이고 전국의 골목을 점령하고 있는데요. 소박한 크기의 공간에 3300개가 넘는 상품과 함께 일상을 구매하는 곳이죠. 편리한 소비공간이면서 생계를 건 ...
왕종명 기자
-
'개인정보 유출' 문자로 '억대 스미싱' 사기 일당 검거
지난달 카드사 개인정보 유출로 국민들이 불안해할 때 정보유출 여부를 확인하시라, 이런 얄미운 낚시 문자를 보내서 스미싱 사기를 치는 이들이 많았는데요. 바로 이런 방식으로 돈을 가로챈 일당이 붙잡혔습니다. 손령 기자입니다. 지난달 카드사 개인...
손령 기자
-
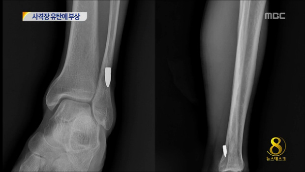
군 사격장 훈련 유탄에 민간인 '발목 부상'
◀ANC▶ 공사장에서 한창 일하던 남성이 어디선가 날아온 총알에 맞아 크게 다쳤습니다. 알고 보니 인근 사격장에서 훈련중에 날아온 총알이었습니다. 김미희 기자입니다. ◀VCR▶ 경기도 고양의 자동차 재활용센터 공사장. 어제 오전 느닷없이 총알 한발이 날아와 작업중이던 ...
김미희 기자
-
영국, 홍수에 강풍까지… 260년 만에 '최악의 겨울'
영국에 260년 만에 최악이라는 겨울 홍수가 발생했습니다. 엎친 데 덮친 격으로 허리케인급 강풍 피해도 잇따르고 있습니다. 런던에서 이주승 특파원이 보도합니다. 영국 환경부 관계자가 범람직전의 강변에서 인터뷰를 하는 중입니다. "날씨가 얼마나...
이주승 특파원
-
LG 신제품 'G프로2' 공개…스마트폰 보안 기술 전쟁
LG전자가 스마트폰 신제품 G프로 2를 오늘 공개했습니다. 새 잠금해제 방식이 새로웠는데요. 이런 보안기술의 강화가 요즘 스마트폰 신기술의 핵심입니다. 박영회 기자입니다. 꺼진 화면을 톡톡 몇번 치자, 잠금이 풀리고 스마트폰이 켜집니다. 하지...
박영회 기자
-
'과도한 사교육' 방지…수능영어 쉬워진다
어려서부터 사교육이 집중되고 또 지나친 교육열 논란도 부르는 과목이 바로 영어죠. 교육부가 이번 수학능력시험부터는 영어를 쉽게 출제하기로 했습니다. 노경진 기자입니다. 작년 수능에서 난이도에 따라 A, B형으로 나눌 만큼 어려운 문제들이 많았...
노경진 기자
-
대목 잃은 꽃 시장 '농가 울상'…국산 생화 찾기 어렵다
요즘 졸업식이나 기념일에 빠지지 않는 선물이 꽃인데요. 그런데 올해는 국산 생화를 보기가 쉽지 않다고 합니다. 어떤 이유인지 오상연 기자가 취재했습니다. 이른 아침 서울의 꽃 도매 시장. 졸업식이 많은 날이라 손님이 몰릴 시간이지만 막상 구매...
오상연 기자
-
'알몸 뒤풀이' 사라졌다…'이색 졸업식' 새 문화로
한창 졸업식 열리는 시기죠. 몇 년 전까지 알몸 뒤풀이 같은 폭력적인 졸업식이 문제가 됐는데요. 요새는 졸업식을 축제처럼 꾸미는 학교가 늘고 있습니다. 남형석 기자가 다녀왔습니다. 여고 졸업식장 앞에 레드 카펫이 깔렸습니다. 애니메이션 패러디...
남형석 기자
-
'부림사건' 5명, 33년 만에 무죄 판결
1981년 부산지역 최대 공안사건이었던 이른바 '부림사건'의 재심 청구인인 고호석 씨 등 5명에게 33년 만에 무죄 판결이 내려졌습니다. 부산지법은 "피고인들이 불법구금돼 자백의 임의성을 의심할 사유가 있으며, 학생운동이나 현실비판적인 학습행위로는 국가보안법을 어겼다고...
오정환 기자
-
'유서대필 사건' 강기훈 씨 22년만에 무죄 선고
지난 91년 노태우 정권 퇴진을 요구하며 자살한 고 김기설씨의 유서를 대신 쓰는 등 자살을 방조한 혐의로 3년 징역형을 마친 강기훈씨에게 무죄가 선고됐습니다. 서울고등법원은 강 씨의 혐의를 입증할 증거가 없고, 자살한 김 씨가 유서를 직접 작성했을 가능성도 배제할 수 ...
오정환 기자
-
[날씨] 동해안 내일 낮까지 눈…정월 대보름, 구름 사이 달 볼듯
태백산맥을 사이에 두고 어쩌면 이렇게 날씨가 다를까요. 서울은 연일 맑고 무난한 날씨가 이어지면서 봄을 알리는 버들강아지도 피어올랐는데요. 강릉은 8일 내내 계속 폭설로 보시는 것처럼 온 도시가 눈에 파묻혔습니다. 밤새 영동과 경북 동해안은 3에서 8cm, 경남 동해안...
이문정 캐스터































